Томские ученые нашли живущих в близких к марсианским условиям бактерий
Российские ученые обнаружили в скважинах в Западной Сибири бактерии, способные жить в условиях, близких к марсианским. Об этом сообщает пресс-служба Томского государственного университета, публикуя также ссылку на статью.
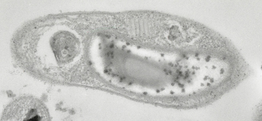
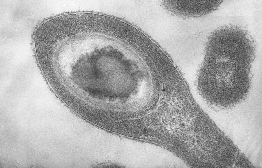
«Десять лет исследователи всего мира «охотились» за бактерией, которая может жить и получать энергию при полном отсутствии света и кислорода — за счет радиоактивного распада в недрах Земли, но «поймать» ее удалось ученым ТГУ», — говорится в сообщении.
Микробиологи Томского госуниверситета и ФИЦ «Биотехнологии» РАН опубликовали исследование бактерии Desulforudis audaxviator (в переводе с латыни — «смелый путешественник»), известной способностью выживать в условиях, близких к марсианским.
Как пояснила соавтор работы Ольга Карначук, ученые ТГУ впервые выделили ее в чистой культуре в подземных водах Томской области и установили, что ее геном практически не изменился со времен древнего суперконтинента Пангеи.
Во время исследования в подземных водах Западной Сибири (Томская, Кемеровская и Тюменская области) ученые также обнаружили родственные микроорганизмы и выделили новый род и семейство — Desulfosceptrum tomskiensis и Desulfosceptrumaceae. По данным геномного анализа, они близки к «смелому путешественнику», но эволюционируют быстрее.
Оставайтесь на связи с РБК в Max.










